Referenzbeispiele
"Where the rubber meets the road"
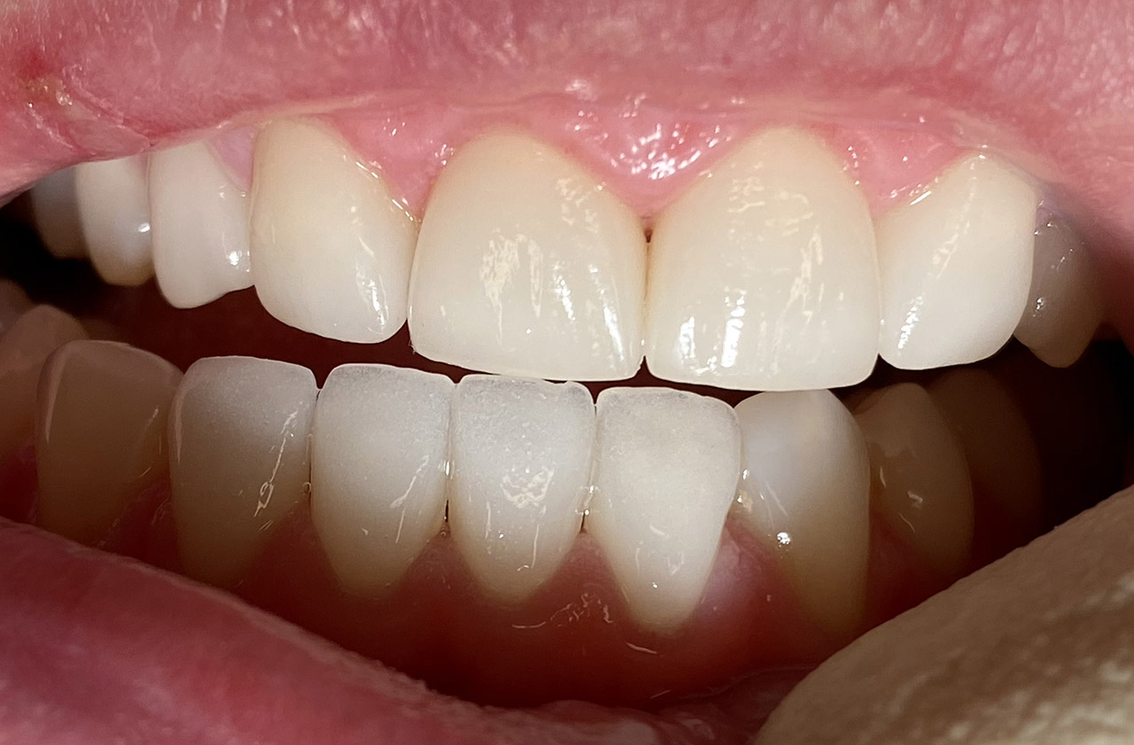
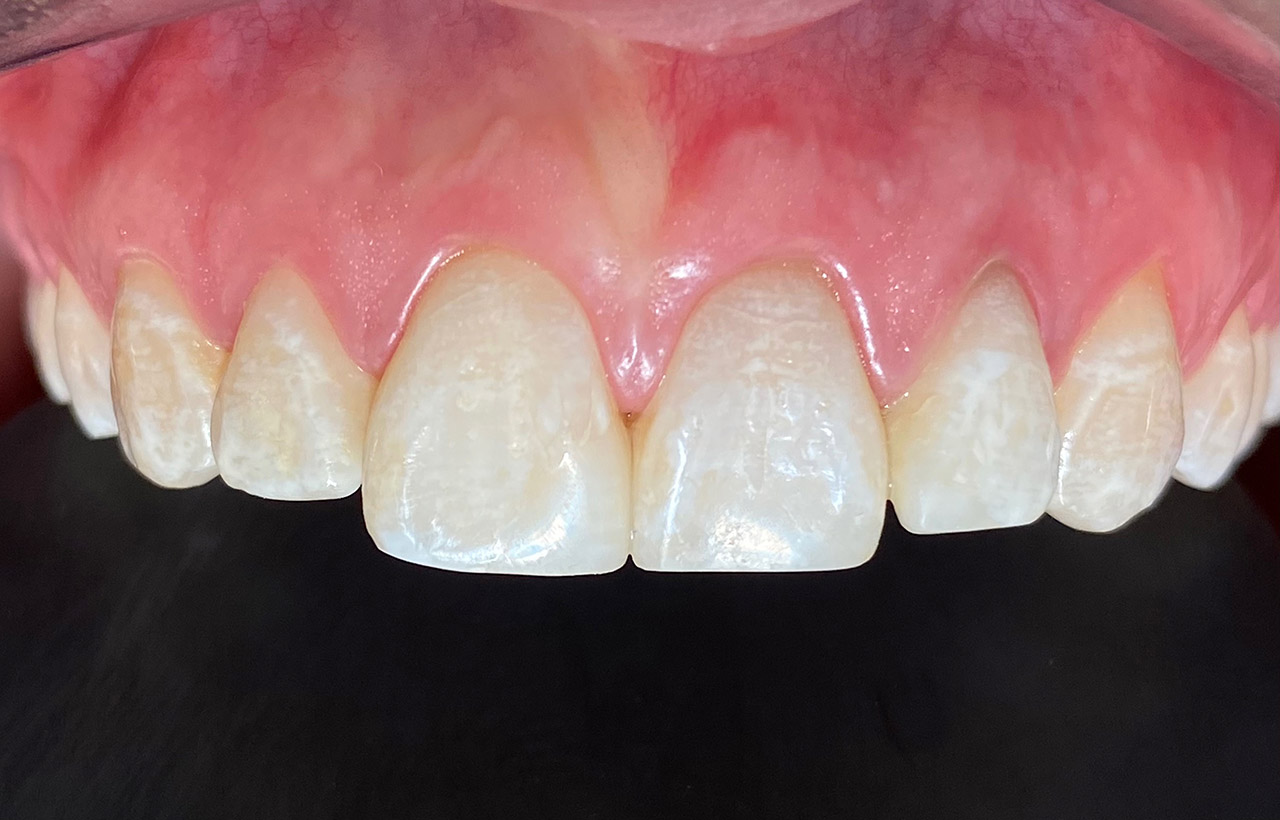
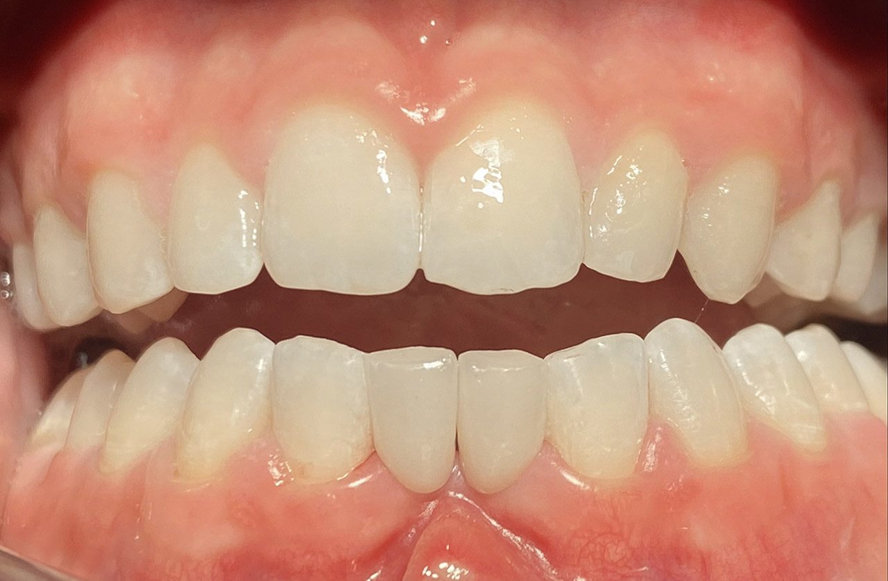
Ästhetische Zahnheilkunde / der komplexe Fall
Aplasien/Nichtanlagen, dadurch bleibende Milchzähne, Diasteme/Zahnlücken,
Bleaching/Bleichen, Positionierung der Zähne/Kieferorthopädie (Dr. Maija Eltz), Verblendung mit Veneers/Keramikschalen.


Vorher / Nachher Vergleich mit Slider
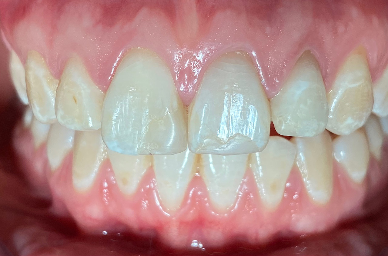
Internes und Externes Bleaching (Bleichen):
Nach Unfall mit E-Scooter unbefriedigendes Ergebnis der Erstversorgung (alio loco). Therapievorschlag: Stiftzähne?
Unsere minimalinvasive Therapie: Revision der Wurzelbehandlungen, danach internes und externes Bleaching, adhäsive Kunststoffüllungen in Schichttechnik. (Titel meiner Diplomarbeit 2003 “Die Vermeidung von Extraktion und Wurzelspitzenresektion durch zeitgemässe Endodontie in der Privatpraxis”)
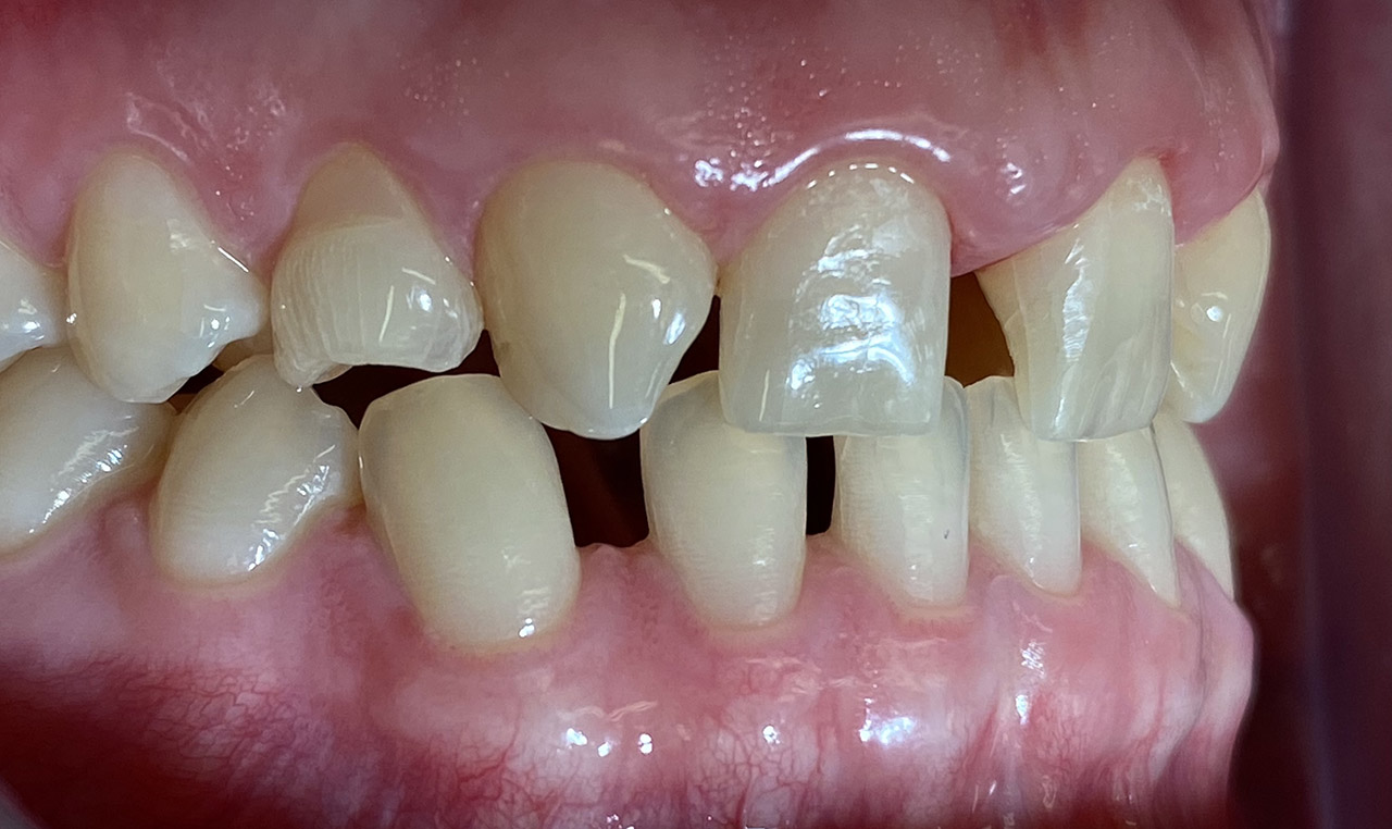
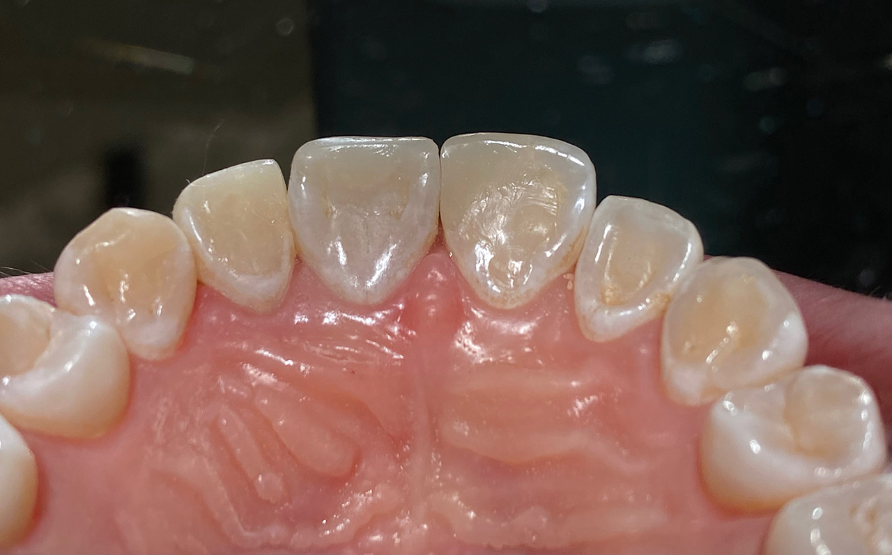
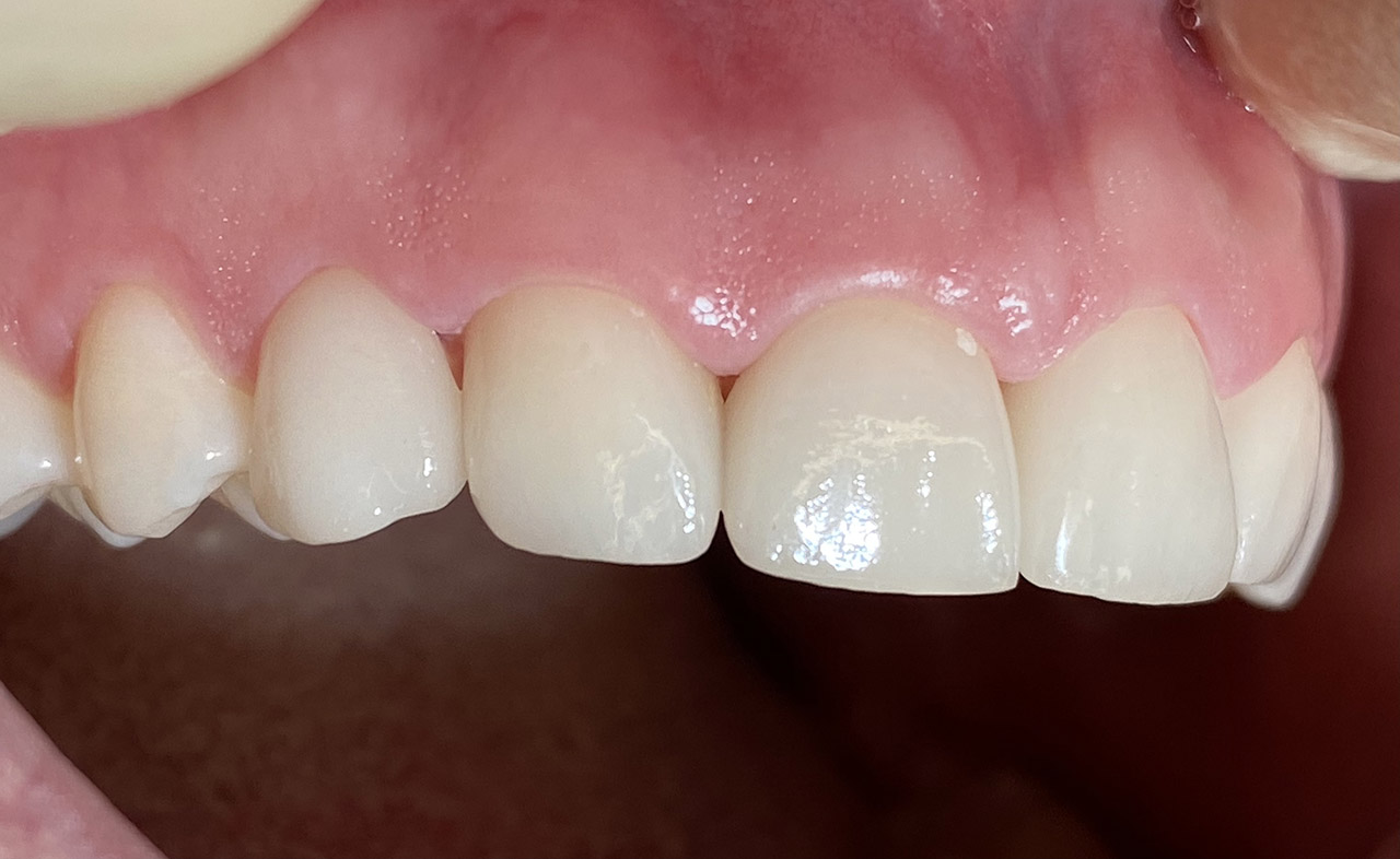
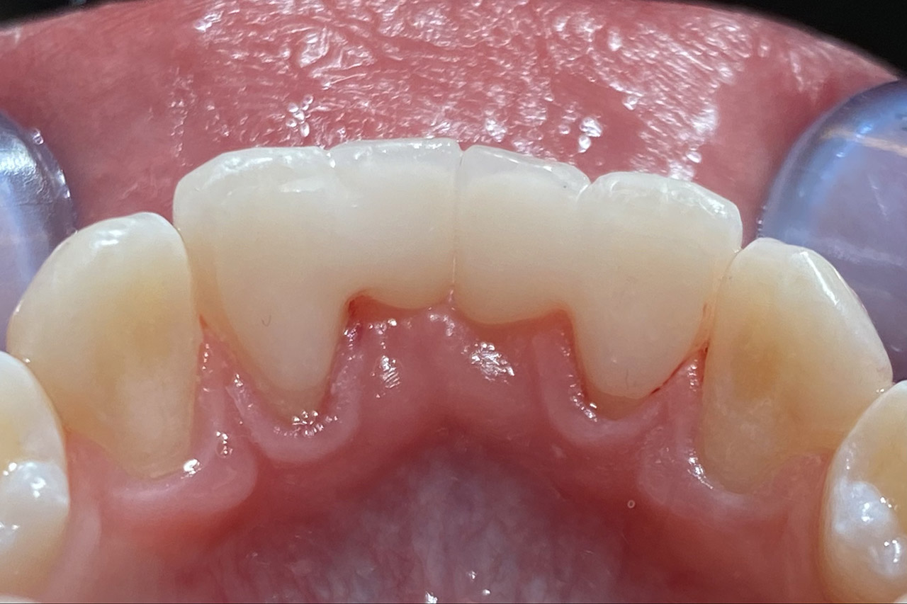
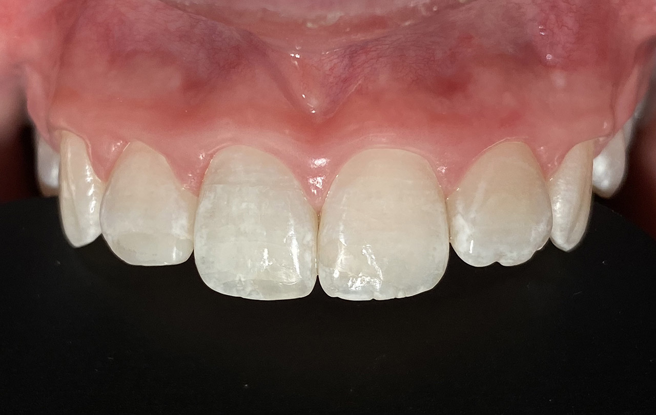
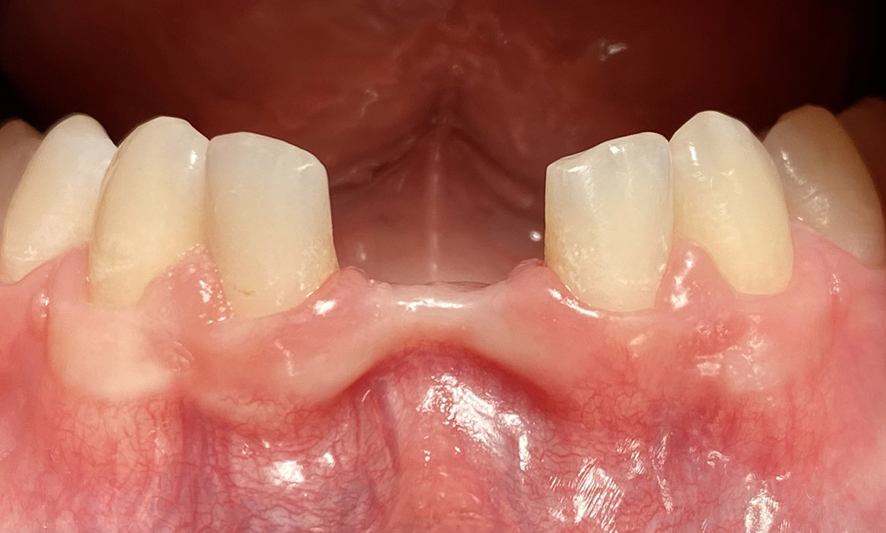
Klebebrücken bei Zahnaplasie (Nichtanlage):
Vorbehandlung (Dr. Ernst Köle): Kieferorthopädischer ”Platzhalter mit provisorischem Zahn”.
Minimalinvasive Therapie: 2 keramikverblendete Klebebrücken (“Zirkonflügerl") adhäsiv zementiert.
Konservativ ohne Knochenaufbau und Schleimhauttransplantat.
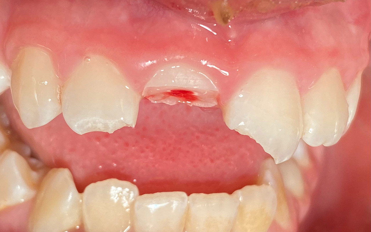
Traumatologie
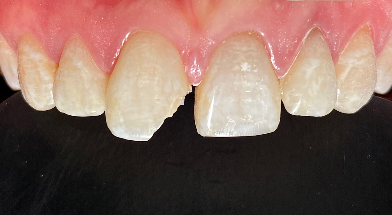
Zahn 11 nach Sturz frakturiert, Pulpa nicht eröffnet, Zahnstück adhäsiv wiederbefestigt, Zahn konnte vital erhalten werden.


Vorher- / Nachher-Vergleich mit Slider


Vorher- / Nachher-Vergleich mit Slider
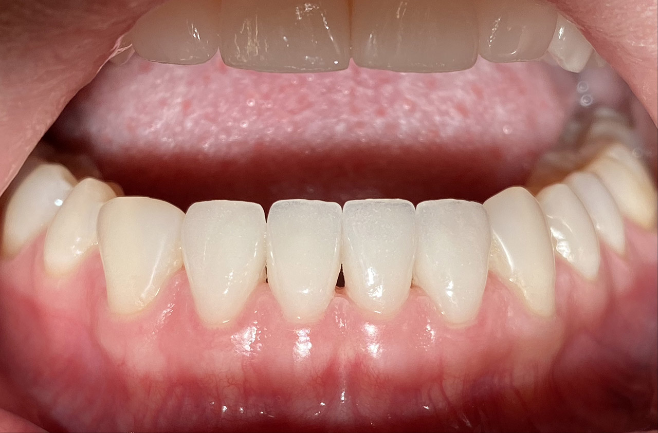
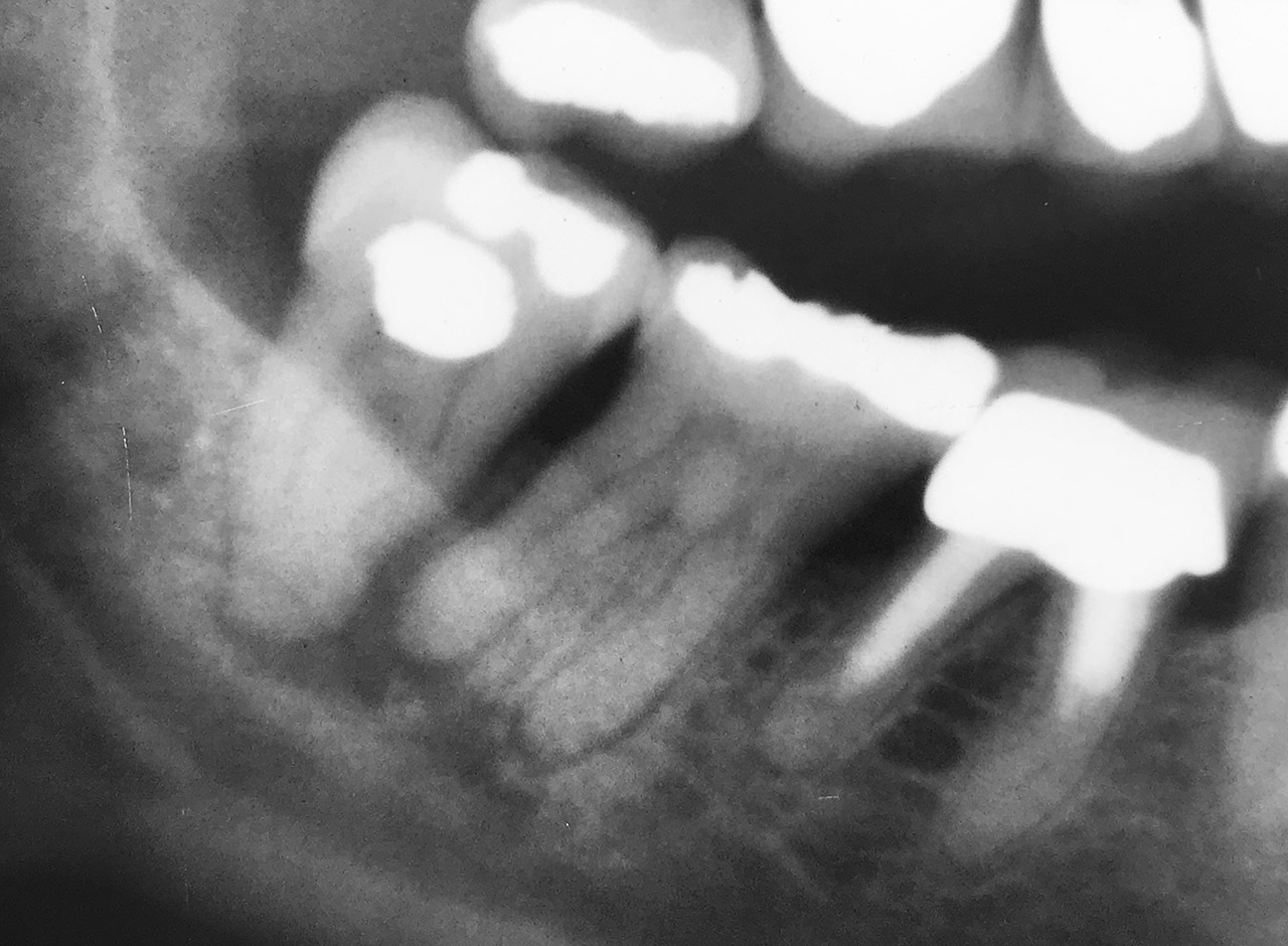
Wurzelbehandlung/Endodontie:
Massiver Paro-/Endodefekt bei den Zähnen 38&37. Extraktion von 38 (Weisheitszahn) und Wurzelbehandlung von 37 (4 Kanäle). Defekt vollständig ausgeheilt.
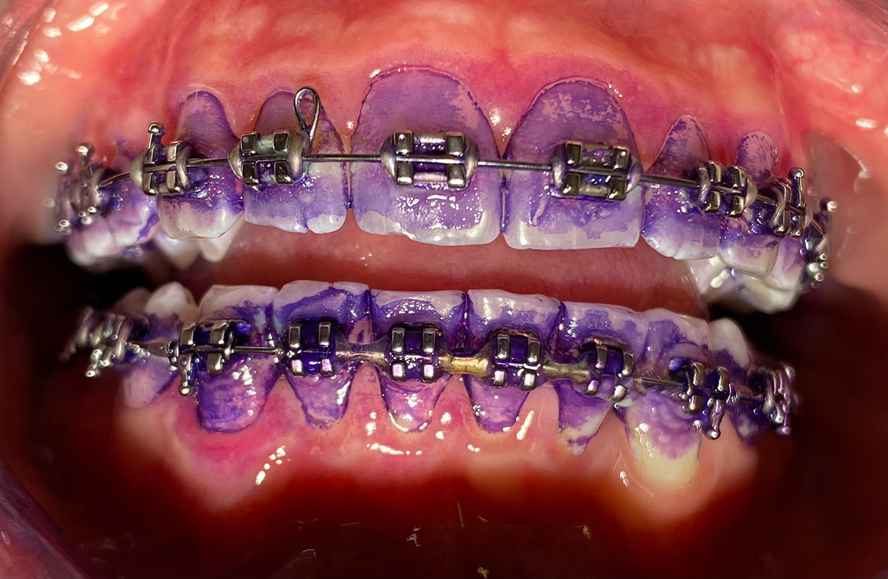
Prophylaxe/professionelle Zahnreinigung:
Zur Motivation, Information und Instruktion einfärben der Beläge (bakterieller Biofilm) bei jungem Patienten in kieferorthopädischer Behandlung.
Reinigung der Zähne mit Pulverstrahltechnik minimalinvasiv und zahnschonend und wo noch nötig gezielt mit Ultraschall.
Das Resultat 45 Minuten später.
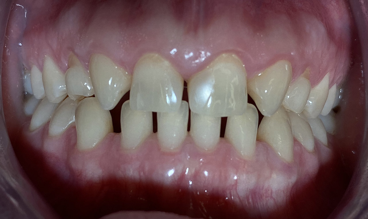
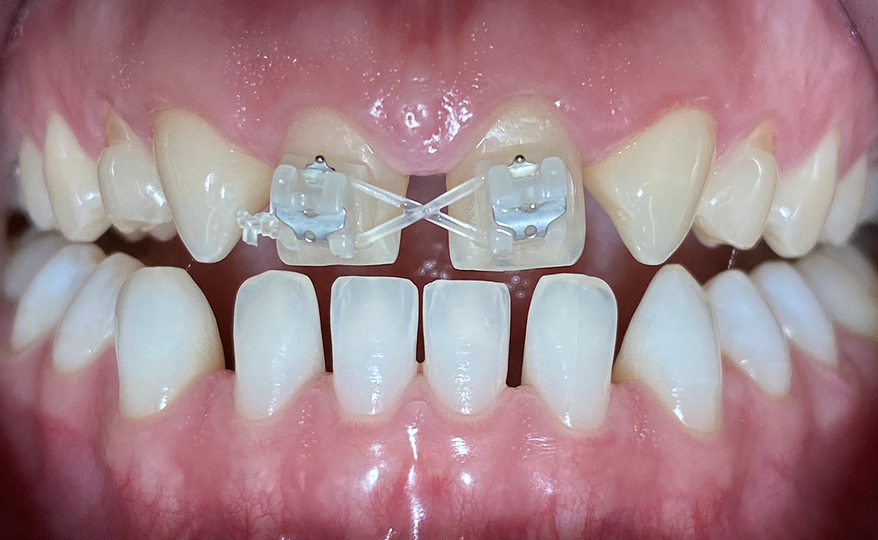
Traumatologie und Endodontie:
Nach Unfall/Sturz mittlerer Schneidezahn auf Gingivaniveau abgebrochen, Pulpa weit eröffnet, beide Nachbarzähne ebenfalls frakturiert.
Erstversorgung: Pulpektomie der Kronenpulpa, MTA, provisorischer Verschluß mit rosa Glasionomerfüllung.
Wiederaufbau der Nachbarzähne mit mitgebrachten (plus 1 Stein) Zahnstücken mit Kunststoff ergänzt und adhäsiv verklebt.
2. Schritt nach Aushärtung von MTA: Entfernung der Kronenpulpa im Bruchstück zur Vermeidung von Verfärbung, Füllung mit Kunststoff.
Adhäsives zementieren des abgebrochenen Zahnstücks.
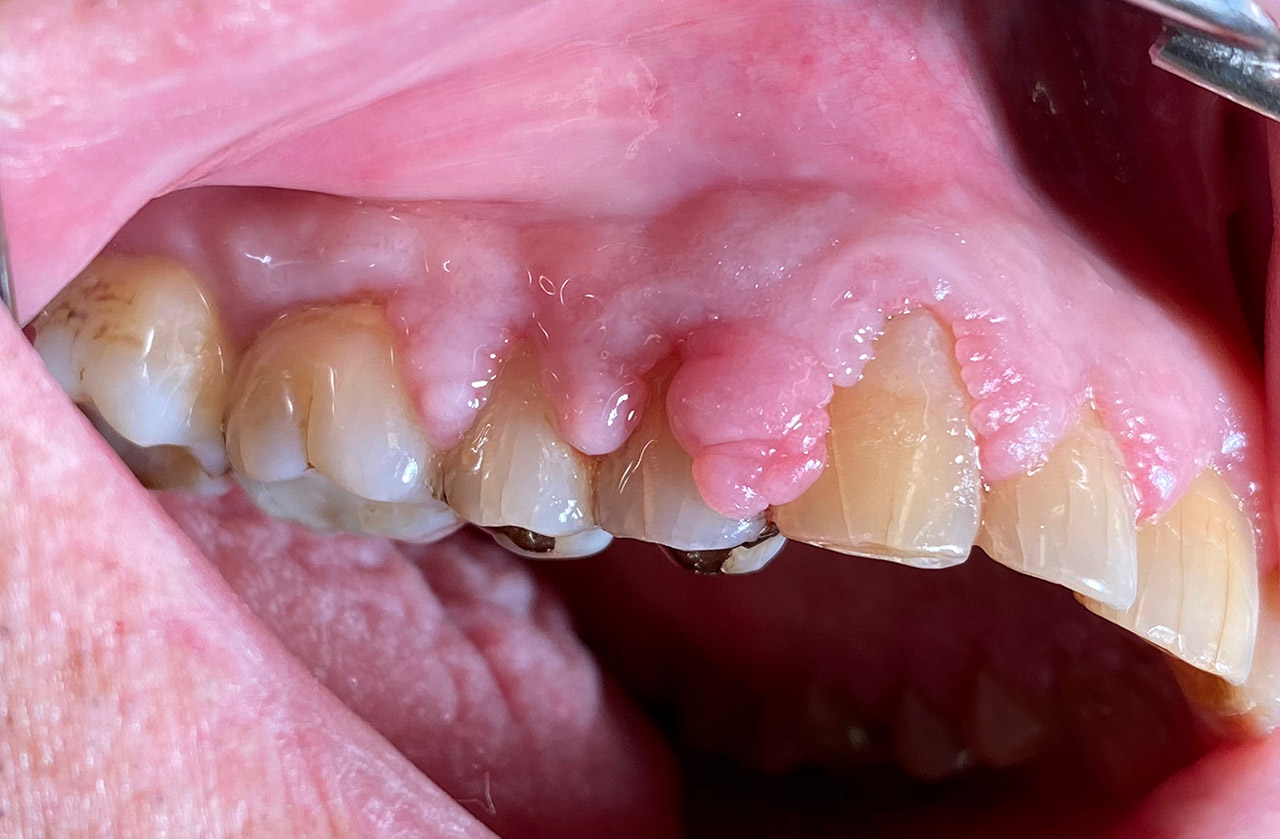
Parodontologie/Gingivahyperplasie:
Diagnose: Gingivahyperplasie durch Medikamente (Blutdrucksenker), unzureichende/nicht mehr mögliche Mundhygiene und überstehende Füllungen.
Therapie: Gingivektomie und anfinieren der Füllungen. Letztes Foto 1 Woche postOP.
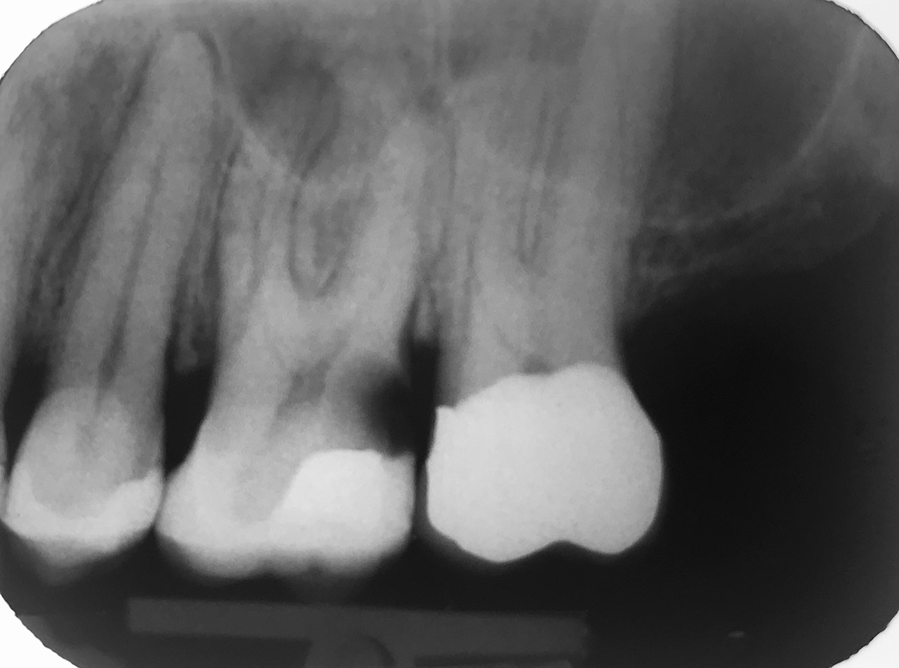
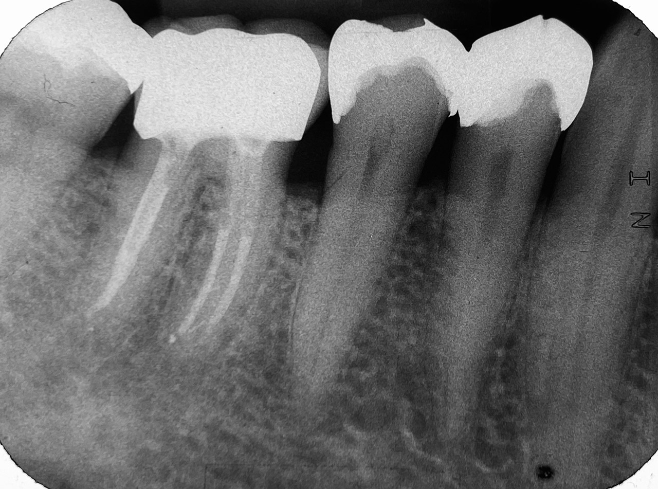
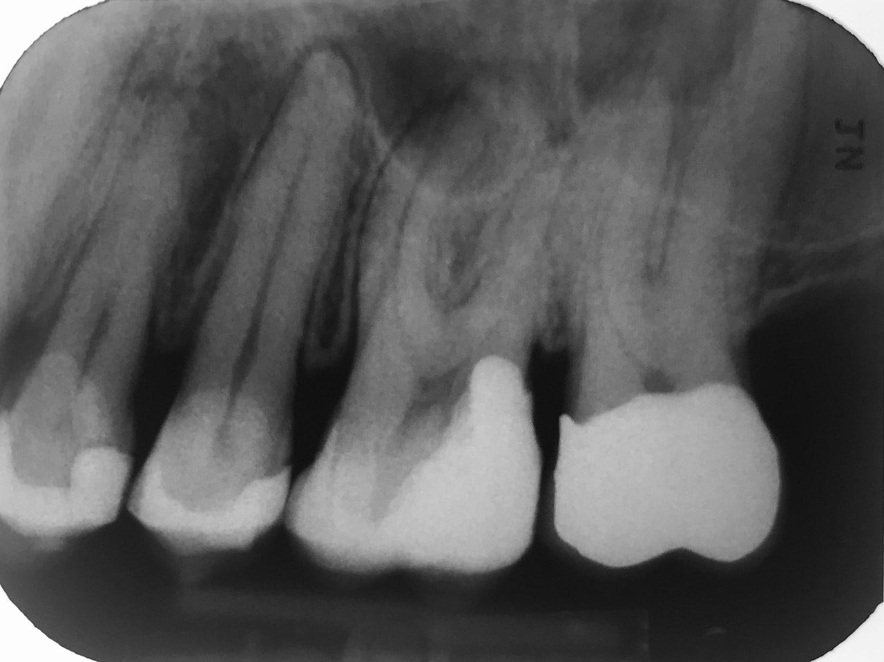
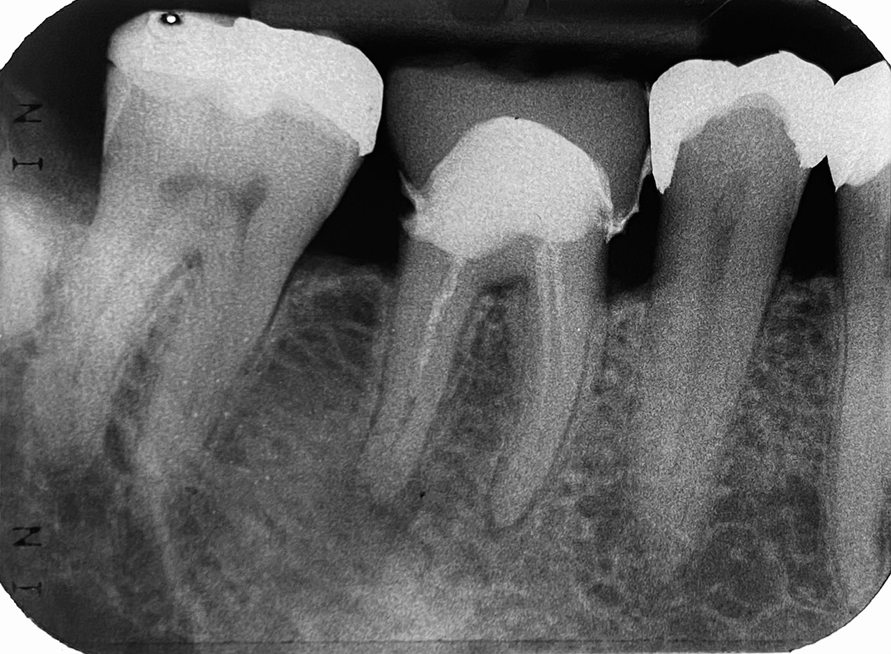
Endodontie/Wurzelbehandlung:
Befund: Aufbißschmerz und Schwellung auf Zahn 46. Frisch zementierte Krone (alio loco).
Therapie: Abnahme der Krone, Entfernung der Zementreste, Revision der insuffizienten Wurzelbehandlung.
Glasfaserstifte und neue Krone, beides adhäsiv zementiert.
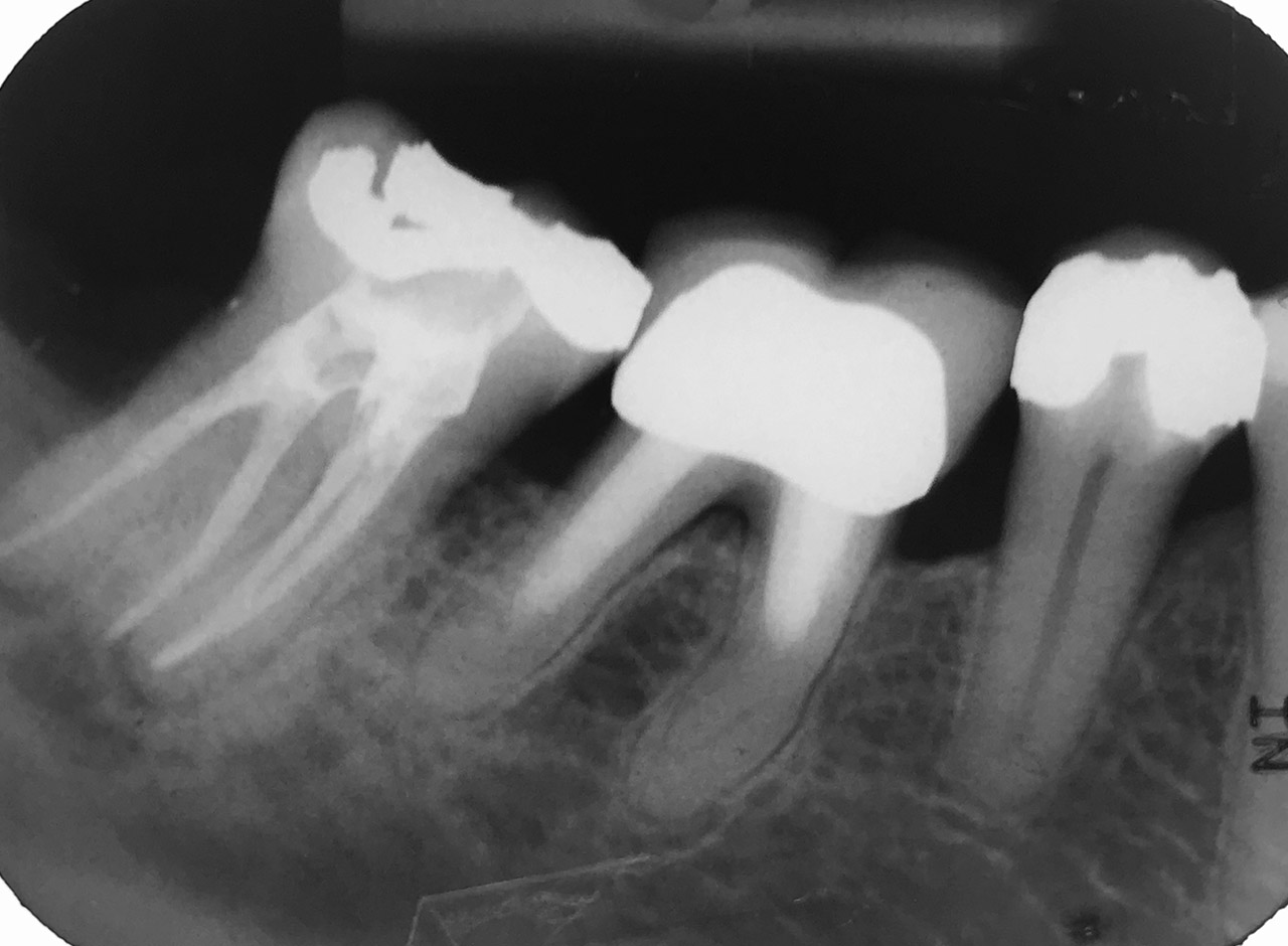
Kariestherapie:
Anamnese: tiefe Karies (Caries profunda) an beiden Oberkiefer 1. Molaren
Therapie: Zahn 16 musste Wurzelbehandelt werden, Zahn 26 konnte vital erhalten werden.
Aufbau beider Zähne in adhäsiv mit Composite/Schichttechnik.
Fotos&©Christian Senger, Originalfotos mit iPhone, KEIN PhotoShop!